Thinking About Dental Veneers? Find Out if You are a Good Candidate

HomeBlogThinking About Dental Veneers? Find Out if You are a Good Candidate

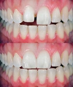
Veneers can quickly make your teeth whiterMost people have heard of crowns and dentures, but fewer people know about dental veneers. Dental veneers offer a restorative dentistry option for people who desire to improve the cosmetic appearance of their teeth. While changing the outward appearance of your teeth with dental veneers may not significantly impact your physical health, it can dramatically improve your mental and emotional health if you have been unhappy with the appearance of your teeth.

If you have good dental health and hygiene habits, but are somehow unhappy with the appearance of your teeth, it is likely that you are a good candidate for veneers:

  • A dental veneer can quickly fix the appearance of a tooth that is stained or discolored.
  • Veneers can also address minor imperfections like a chipped tooth.
  • Veneers can quickly make your teeth whiter, change the shape of your teeth, and close gaps between your teeth.

Every veneer is custom-made and they are generally made from very thin porcelain. Once applied to your teeth, veneers are very strong, but you do have to be mindful of your habits. Veneers are not a good option for people who bite their nails, crunch on ice or other hard foods, or those with a history of grinding or clenching their teeth.

If you want to take more pride in the appearance of your teeth, talk to your dentist about the possibility of dental veneers. They may be the affordable and quick option you have been looking for to improve your confidence and self-esteem.